近日,南京鼓楼-淮南东方医院集团总院心胸大血管外科联盟团队,成功为一位年近七旬的二尖瓣生物瓣置换术后生物瓣衰败患者,实施了高难度的经心尖二尖瓣“瓣中瓣”置换术。以往因心脏瓣膜病患者行生物瓣置换手术,当生物瓣衰败后,患者面临二次开胸的困扰。传统再次开胸换瓣手术存在手术时间长、难度大、恢复周期长等诸多不良因素,让众多高龄、高危的生物瓣衰败患者丧失了再次手术的机会。“瓣中瓣”手术可以避免体外循环等创伤,大大降低了手术风险。不仅能挽救患者生命,还能很好提升患者的生活质量。

范阿姨是东方总院胸心外科的老朋友了,十一年前她也因为心脏瓣膜问题来到东方总院手术。最近范阿姨再次出现了胸闷、气喘,且症状不断加重,活动耐量明显降低,便让儿子带她找医生看看。因为上一次范阿姨在东方总院手术恢复的特别好,这次她依旧选择了东方医院。经过检查显示,范阿姨有充血性心力衰竭还伴有二尖瓣反流等症状,考虑二尖瓣生物瓣衰败,病情比较严重。

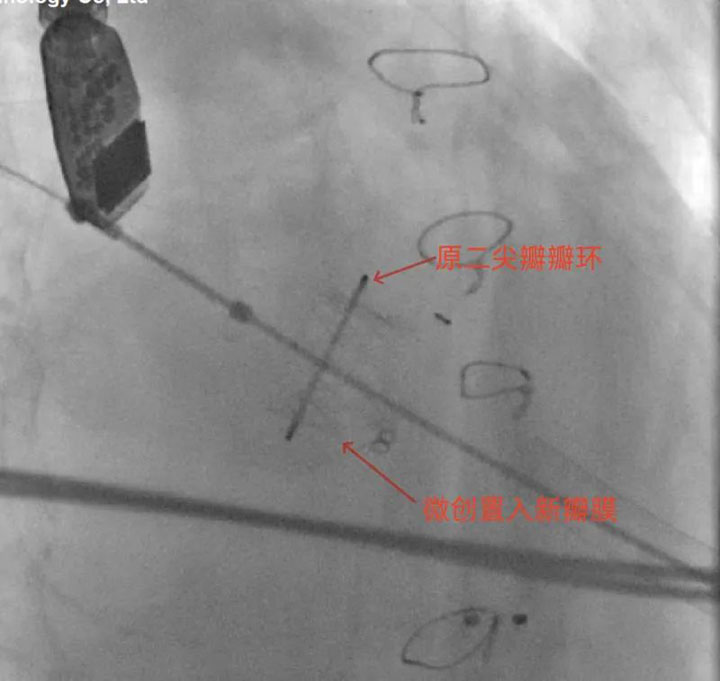
南京鼓楼医院-淮南东方医院集团总院心胸大血管外科联盟团队对患者的病情进行充分评估,并反复讨论后,决定为范阿姨进行经心尖二尖瓣“瓣中瓣”置换术。这是她人生面临的第二次心脏手术,范阿姨心里比较紧张,一听要手术内心也比较抗拒,范阿姨告诉医生自己年纪大了不想再开胸做手术了。随志辉主任让范阿姨不用担心,这次手术跟11年前做的体外循环下二尖瓣置换术不一样了,这次是微创手术,恢复的比较快,听到这里范阿姨悬着的心才彻底放下来。



在胸心外科、麻醉科、导管手术室等多部门的通力配合下,经过约两个小时的操作,顺利将新的二尖瓣生物瓣膜释放至合适位置,成功完成经心尖二尖瓣“瓣中瓣”置换术。术后患者被转入ICU观察,第二天转回普通病房,目前,范阿姨已顺利出院,回访临床症状明显改善。

淮南东方医院集团总院胸心外科与南京鼓楼医院心脏大血管外科成立心胸外科专科联盟以来,定期邀请南京鼓楼医院专家坐诊手术,常规开展心脏大血管外科开放及微创手术。东方总院胸心外科将秉承全心全意为患者服务的理念,为患者提供优质的医疗服务,为患者的健康保驾护航。

24小时服务电话:0554-6895999纪委:0554-6895236投诉办:0554-6895132
医院地址:安徽省淮南市洞山老龙眼
Copyright © 2026淮南东方医院集团
微信公众号
手机版


微信公众号

手机版
