近日,淮南东方医院集团普外科医疗中心在麻醉科、导管室的多学科密切配合下,成功为一名B型主动脉夹层患者施行了“左侧锥动脉+左侧颈总动脉转流+分支型主动脉覆膜支架腔内隔绝术”。此次手术在业内属高精尖复杂疑难手术,在淮南市是首次开展,对外科医生来说是一大挑战,目前在省内仅有少数几家医院可以开展,它的成功实施,是医院整体综合软硬实力的体现。

患者孙先生在家时突然发生剧烈胸痛,被家人紧急送至东方医院急诊科,在完善相关检查后,胸部CTA动脉造影诊断为B型主动脉夹层。主动脉作为人体最粗大的一级供血管道,动脉夹层破裂机会非常大,死亡率也非常高,如果不及时手术,主动脉夹层很有可能发生破裂或者引起重要脏器缺血,严重危及患者生命。普外科医疗中心桂锐主任团队在详细查看病人后,第一时间耐心和患者及家属进行沟通,嘱咐患者卧床休息,同时通过积极的控制血压、止痛等方式创造最佳手术环境。

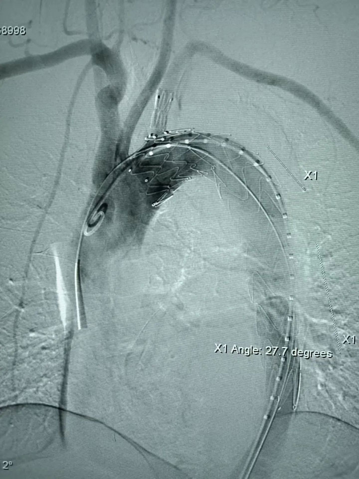
在患者状态缓解的过程中,桂锐主任团队开始积极分析并制订手术方案,然而,孙先生的情况远非想象中的那么简单。“这种情况本应该在主动脉中置入支架,但是这个病人天生锥动脉变异,长在了需要支架的主动脉上,如果直接放置支架,很大概率会导致左侧锥动脉堵塞。”面对这样棘手的情况,桂锐主任皱起眉头,沉思了片刻,重新制订了方案:“先将左侧锥动脉转流至左侧颈总动脉,之后再进行支架置入。”两项高精度技术的融合,使手术难度成倍提升,桂锐主任带领团队,开始与死神进行博弈。


4个多小时的手术,犹如“刀锋上的芭蕾”,普外科医疗中心团队在毫米血管里“穿针引线”,开辟生命通道,顺利完成了锥动脉至颈总动脉的转流,之后又将一枚分支型支架成功置入主动脉夹层处,达到100%覆盖。桂锐主任团队小心谨慎,技高胆大,终于成功解除孙先生动脉夹层的危机,把他从死神手里“抢”了回来。


术后经过预后治疗和一系列对症处理,孙先生彻底摆脱动脉出血风险,逐渐康复,在不到一周的时间里已基本恢复生活自理,目前已可以下床正常行走。当患者和家属握着桂锐主任的手表达感谢时,他深感欣慰与幸福。同时高难度复合型手术的成功,也让医疗团队备受鼓舞,但是桂锐主任表示:“对于东方普外科医疗中心来说,不管多成功的手术,都只是一个开始,下一个病人永远都是第一个。作为医生,我们必须持续不断走在开拓进取的道路上。”


24小时服务电话:0554-6895999纪委:0554-6895236投诉办:0554-6895132
医院地址:安徽省淮南市洞山老龙眼
Copyright © 2026淮南东方医院集团
微信公众号
手机版


微信公众号

手机版
