近日,一名因脑出血紧急送医的患儿在东方总院神经外科成功接受手术治疗,并顺利康复出院,患儿家属对医院的精心治疗表示高度认可与感激。

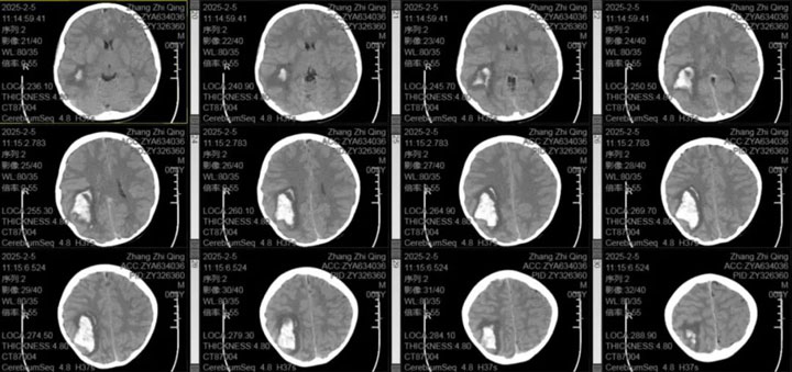
据了解,该患儿系上海人,春节期间随父母从上海返乡过节,最初出现头疼症状,家人未予以足够重视。随后,患儿病情加重,出现呕吐及视物模糊的情况,家人紧急将其送往东方总院。经头颅CT检查显示患儿右侧颞顶枕叶脑出血。

神经外科医疗中心吴鹏副院长解释道:小儿脑出血在临床上较为复杂,常见原因包括脑血管畸形、动脉瘤、血液系统疾病等,其中脑血管畸形最常见,处理较为复杂,手术风险极高。为进一步明确病因,排除脑血管畸形、动脉瘤等可能,立即为患儿进行了头颅CTA检查,结果未发现明显异常。

鉴于患儿的病情,张德辉院长及其吴全主任团队判断其具备手术指征。然而,在与患儿家属沟通手术方案时,家属陷入了两难抉择。考虑到患儿年龄小,要求高,避免以后遗留后遗症,家属纠结是转回上海大医院治疗,还是留在东方总院进行急诊手术。转院存在路途风险,万一出现意外,则悔恨终生,经过多方打听了解,相信东方总院神经外科的技术水平,家属经过慎重考虑,毅然决定在东方总院接受开颅手术治疗。

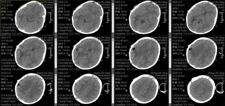
东方总院神经外科医疗中心张德辉院长和吴全主任对该患儿的病情高度重视,术前组织了详细的病例讨论,制定了周全的手术方案。由于出血部位靠近功能区,术后存在偏瘫风险;尽管CTA未发现异常,但仍不能完全排除颅内动脉瘤、脑血管畸形等病因,手术风险较高;手术将采用显微镜下精细操作,以预防可能的动脉瘤破裂或血管畸形出血,并减少手术创伤;同时,考虑到患儿年龄小,头部切口护理难度大,颅骨缺损不利于儿童身心康复,张德辉院长决定采取颅骨骨瓣回纳的方式,减少二次手术创伤。

手术过程中,医生团队凭借精湛的医术和丰富的经验,不负所托,顺利完成了手术。术后,患儿未出现神经功能障碍,结果与期待完美重合,恢复情况良好。经过一段时间的精心护理和治疗,患儿最终康复出院。

此次成功救治体现了东方总院神经外科在小儿脑部疾病治疗方面的专业水平和综合实力。张德辉院长表示,每年都有颅脑损伤、脑出血的患儿行开颅手术治疗,最小年龄仅一岁,恢复良好,在治疗患儿这一方面,我们有着丰富的经验,我们将继续提升医疗技术和服务质量,为广大患者的健康保驾护航。在此,吴全主任也提醒广大家长,当孩子出现头疼、呕吐等异常症状时,务必引起重视,及时就医,以免延误病情。

24小时服务电话:0554-6895999纪委:0554-6895236投诉办:0554-6895132
医院地址:安徽省淮南市洞山老龙眼
Copyright © 2026淮南东方医院集团
微信公众号
手机版


微信公众号

手机版
