《礼记·曲礼上》:“百年曰期、颐。”人生以百年为期,所以称“百岁”为“期颐之年”。家有百岁老人,在中国家庭是莫大的福气。近日,广济医院骨科顺利为一名百岁老人进行了“右侧人工股骨双头置换术”,术后老人恢复良好,让这份福气更好的绵延赓续。

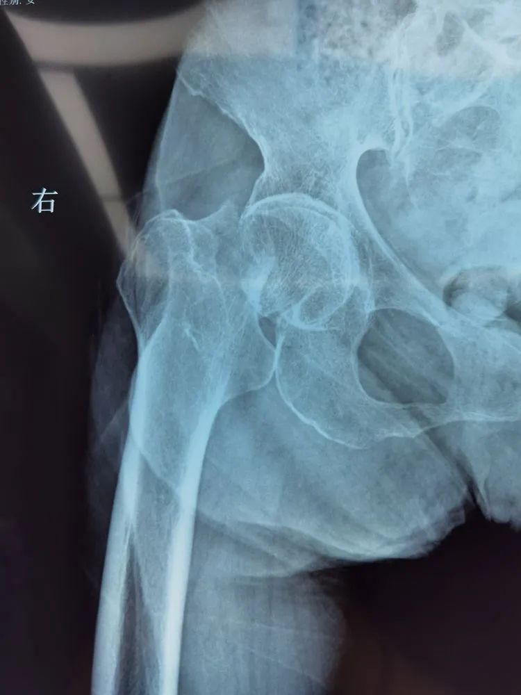
不日前,老人不慎摔伤,剧痛难忍,孝顺的子女们心急如焚,赶紧将老人送往医院。接诊的正是广济医院骨科主任王怀波,老人面色痛苦,家属代为主诉:不慎摔伤致右髋部疼痛伴活动受限,检查后拟诊“右股骨颈骨折”,专科检查:右髋屈曲外旋畸形,稍肿胀,下肢短缩约1.5cm,右腹股沟韧带中点下两横指处压痛明显,轴向叩击痛阳性,影像示:右股骨颈骨质断裂,断端错位,股骨干上移。明确诊断——右股骨颈骨折。

王怀波主任介绍,股骨颈骨折是老年人常见的骨折,多发生与50岁以上人群。随着建筑业及高速公路的发展,诸如高空坠落、重压伤、车祸等意外的发生,年轻患者的股骨颈骨折发病率亦呈上升趋势。股骨颈由于局部剪力作用,骨折不易固定。同时,颈部骨折后股骨头血供严重受到影响,预后亦差。老年人伤前大多伴有高血压、糖尿病等慢性疾病,如果不采取适当治疗,极易因长期卧床而发生内科并发症及骨折不愈、股骨头坏死等。因此,一般建议手术治疗。

鉴于老人已经是百岁高龄,平素身体较差。检查发现老人不仅肺部有炎症,同时心脏各瓣膜也有严重的反流问题,这些心肺功能的问题都影响着老人的手术耐受力,因此手术存在一定的风险!而如果不手术的话,老人只能卧床不起,很可能会继发肺部感染、褥疮及静脉血栓,不仅需要大量的人手照顾老人,而且预后堪忧。经过充分的评估和多学科会诊,请示集团骨科医疗中心方成院长和江涛主任后,王怀波主任慎重的同老人家属推心置腹的进行了沟通,将手术风险和围手术期可能发生的风险一一告知,家人十分信任感激,最终选择手术治疗方案。

经过充分的术前准备,手术如期进行。手术室团队密切配合,麻醉科主任卜美林、副主任汪敏携手,一边安慰瘦弱的老人,一边熟练的从腰部棘突间的空隙进入,行腰硬联合麻醉,先为手术安全提供强大保障。集团骨科医疗中心总院副主任柏文昆主刀,王怀波主任配合,常规消毒、熟练入路.....柏主任手法娴熟,仅半小时不到,手术就顺利结束。术后,老人恢复良好,第二天就已经下床活动进行功能锻炼。



“来,咱们走给王主任看看。”查房时,老人精神矍铄,正在熟练的练习,“好,走的很好......”王主任关心老人的同时,积极鼓励老人,指导家人正确护理。“家有一老,如有一宝。王主任他们技术真好,老妈恢复的很好,特别感谢,谢谢他们让我们家里的老寿星又能健步如飞了。”老人的子女感激的说道。

在集团骨科医疗中心的垂直管理下,集团骨科医疗中心方成院长和江涛主任等专家的大力支持下,广济骨科王怀波主任带领团队,开诊一年来,门诊接诊患者5000逾人次,顺利开展各类手术治疗300逾例,科室患者上至百岁老人下至三岁孩童,均得到良好的治疗,对科室的技术和服务交口称赞。展筋续骨病痛除,成就健康守西部。广济骨科与健康携手,一起驶入新赛道,跑出加速度!

上一篇: 防范疫情,驰援广德——东方医院集团派驻医护人员支援疫情防控
下一篇: 二次“开心”,性命“险”中求!
24小时服务电话:0554-6895999纪委:0554-6895236投诉办:0554-6895132
医院地址:安徽省淮南市洞山老龙眼
Copyright © 2026淮南东方医院集团
微信公众号
手机版


微信公众号

手机版
