“老师,您慢慢躺下,双手这样摆放,马上为您检查,感谢您配合。”近日,广济医院顺利开展首例瑞金经验法CT小肠造影。因突发腹痛、腹胀,赵师傅(化名)就诊广济医院普外科,结合患者主诉、病史等,排除其他疾病后,为更好的明确病因,医生决定为其行CT小肠造影检查。

小肠全长约4-6米,是人体内最长的一段消化道,上接胃幽门下至盲肠。对于消化系统的患者来说,胃肠道检查无疑是最好的选择,内镜下所有的疾病都一览无遗。但小肠病变,却因为胃肠镜检查无法触及,在影像技术并不发达的时期,只能选择口服钡剂造影、小肠灌肠气钡双重对比造影等方法进行检查。传统的钡剂小肠造影检查时间较长,难以发现细小病变,而小肠灌肠双重对比造影由于插管会引起患者不适、操作较复杂,不能观察小肠功能改变也存在着较大局限。


随着影像技术的日新月异,CT小肠造影和MRI小肠造影顺势而出,由于其不仅可以显示肠壁粘膜和肠管形态,而且对血管性病变诊断准确,可同时对消化道出血或肿瘤进行治疗,因而逐步取代X线钡剂小肠造影,成为小肠病变的首选检查方法。


广济医院影像中心采用瑞金经验法CT小肠造影技术的源自上海交通大学医学院附属瑞金医院。多年前,上海交通大学医学院附属瑞金医院放射科消化组率先在国内开展CT小肠造影,小肠影像诊断水平处于国内前列。早在2018年,东方医院集团总院云影像中心首先在淮南地区引进该技术,为一批批小肠病变的患者带来福音。依托医院集团的垂直管理的技术优势,广济医院影像中心将该项影像诊断技术带到淮南西部地区,于近期顺利开展首例CT小肠造影。


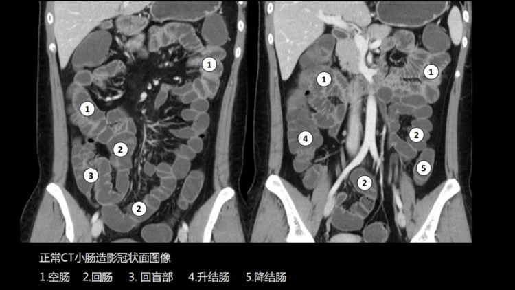
CT小肠造影(CT enterography,CTE)是患者口服或经小肠导管注入对比剂使小肠腔充盈足量对比剂后,经多排螺旋CT增强扫描,并将图像进行后处理,使肠腔、肠壁、肠系膜、腹腔内血管、后腹膜及腹内实质脏器多方位显示出来的技术。临床证明,CT小肠造影(CT enterography,CTE)可精确的判定小肠肿瘤的数目,监测出小肠早期肿瘤,可作为小肠肿瘤定位及诊断的首先检查方法。


CTE简便易行,无明显并发症,不仅能观察肠腔、肠壁、肠外淋巴结、肠系膜、肠系膜血管关系以及毗邻结构等,还可以精确显示粘膜病变、肠壁增厚及肠外并发症,可准确判断小肠肿瘤的浸润深度。适用于多种小肠病变,全腹部扫描能及时发现肿瘤转移情况,有助于临床更准确的把握肿瘤术前分期,能够为患者制定最优治疗方案,带来更好的预后。

广济医院影像中心成功引入此项技术,为医院发展再添新势能,未来将为淮南西部地区居民提供更全面的健康守护。

24小时服务电话:0554-6895999纪委:0554-6895236投诉办:0554-6895132
医院地址:安徽省淮南市洞山老龙眼
Copyright © 2026淮南东方医院集团
微信公众号
手机版


微信公众号

手机版
