近日,广济医院影像中心立足患者和临床精准诊疗需求,成功开展多例非增强型肾动脉磁共振血管显像技术(NE-MRA),为高血压、肾动脉狭窄、肾功能异常以及造影剂过敏的患者带来福音。

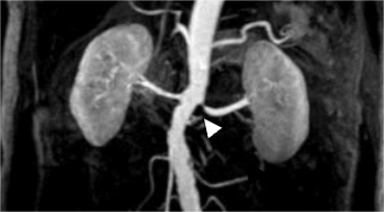
▲正常肾动脉
52岁的徐阿姨(化名)因重度高血压就诊,“之前也有高血压,一直控制的不是太好,最近几天突然头晕、头疼、恶心想吐,一测发现血压高的吓人,高压190/200mmHg,低压都100/110mmHg。吃药也降不下来。”据了解,徐阿姨既往有高血压,近来出现不明原因的血压明显升高且使用一般降压药效果欠佳。

为了明确病因,精准治疗。结合徐阿姨的临床表现和病史,专科医生给出肾动脉血管成像检查的建议。得知徐阿姨不能使用碘造影剂又不想进行肾血管介入的有创检查,广济医院影像中心为其安排了“非增强型肾动脉磁共振血管显像技术(NE-MRA)”,仅仅花了10来分钟,就获得了患者双侧肾功能清晰的MR图像,快速了解其双肾及肾上腺情况,为临床诊疗提供了重要的影像信息。

“这是正常的肾动脉,这是患者徐阿姨的肾动脉。左肾动脉开口处有狭窄。”影像中心袁晨主任表示,非增强型肾动脉磁共振血管显像技术(NE-MRA)是一种安全、无创、准确的检查方式。对高血压、肾动脉狭窄等患者的明确诊断有着重要临床意义。

▲正常肾动脉

▲左肾动脉近段狭窄
哪些人群会有肾动脉狭窄?
肾动脉狭窄可以发生于各年龄人群,多见于中老年人。中老年人的肾动脉狭窄多是由于动脉粥样硬化引起,而年轻人的肾动脉狭窄多是由于大动脉炎或肌纤维发育不良引起。

▲右侧副肾动脉
什么情况需要检查肾动脉?
高血压和肾功能不全患者。
肾动脉狭窄(RAS)是引起继发性高血压或肾功能不全的重要原因之一,患病率在高血压人群中约占5%——10%,在继发性高血压人群中约占20%。肾动脉狭窄不仅会造成循环系统功能障碍,导致高血压、慢性肾功能不全、肾脏萎缩,严重的肾功能损害甚至会发展为肾脏衰竭。肾动脉检查可以明确诊断高血压病因,发现肾动脉狭窄,肾动脉狭窄及时治疗后,病变血管重新通畅后,高血压可以得到治愈,肾功能减退能够得到逆转。因此,肾动脉检查,对高血压及肾功能不全患者的预后有重要意义。

肾动脉狭窄怎么查?
可以分为无创检查和有创检查。
无创检查主要包括超声、CT血管造影(CTA)和磁共振血管成像(MRA)等;
有创检查主要指肾动脉血管造影(DSA)。

为什么肾动脉检查首选NE-MRA?
非增强型肾动脉磁共振血管显像技术(NE-MRA)的优势如下:
检查时间短(整个检查过程不足10分钟);
无需屏气(选择先进的呼吸门控触发扫描技术,患者无需屏气,即可很好完成检查);
无需造影剂(避免了造影剂相关并发症的发生,提高安全性);
无辐射(相对CTA和DSA检查,此项检查无任何辐射);
成功率、准确率高。

预约咨询电话:0554-2797762
24小时服务电话:0554-6895999纪委:0554-6895236投诉办:0554-6895132
医院地址:安徽省淮南市洞山老龙眼
Copyright © 2026淮南东方医院集团
微信公众号
手机版


微信公众号

手机版
